Well this blog was meant to be about how well my planning and preparation for the Sunny Coast 70.3 Ironman was going. How I had recovered really well post Ironman and put my long slow base training phase behind me, and now focused on my speed work.
Instead it is a brief tale of woe about a bike rider and a car coming together in a twisted relationship. Unfortunately we all know who the loser is in this titanic struggle for space on our roads! Yes put simply, I got hit by a car on a early morning training ride on the 24th of July. Amazingly I escaped with only a fractured radius bone at the elbow joint! I was cruising along a road in Wellington Point following a great morning ride and early coffee with a fellow rider, Jason, heading home to get to work. Focusing on maintaining a nice solid tempo up a little rise (that previously I drop the speed and bludge along). Then out of a side road appears a car turning left, having no time to react, I was skittled and sprawled out all over the road!
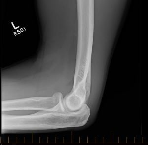
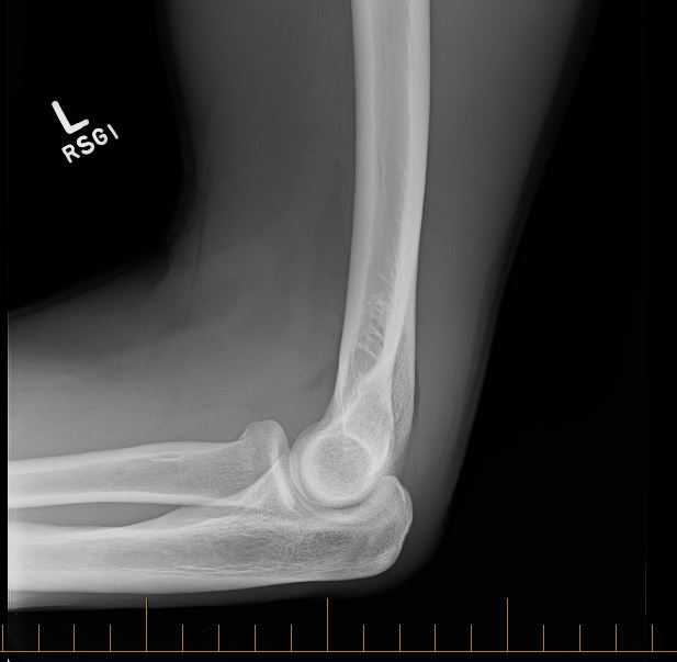
After checking the driver stopped I proceed to check myself over (wow, no blood)! Now the bike, even bigger WOW seems all ok! Both wheels a little out of true, a banged up left pedal, twisted seat and a banged up helmet! Awesome, straighten the seat and lets get home! Driver helped me straighten the seat, cause my left hand was a little sore and I was having problems griping the seal properly. Half way home and I tried to get out of the saddle to climb a little rise, OUCH, my left arm hurt a lot (trying to girp the handle bars)! Finally home (using very tiny gears and seated) and straight to the doctors to get check over! X-rays and neurological assessments complete, result fractured elbow, head OK! Score, NOT! 2 to 4 weeks in a collar and cuff sling, and no riding or running 😦
During all this, I managed to get my bike down to the LBS and have them check over it and quote the damage! Driver has paid the quote and now I’m on the lookout for a sexy new helmet and replacing my awesome Look Keo Max 2 peddles! All things going to plan it should leave me approximately 4 week prior to Sunny Coast to cram, prepare and hopefully race OK. In the mean time its now time to recover and focus on the mental strength required to get through the low that come at some point in every triathlon race and preparation!
Look forward to my next blog, probably about how to prepare for a race in 4 weeks, Hahaha! Stay safe and keep active everyone!

